-

Zülalların ilkin zəncirvari quruluşuna əsasən onların üçölçülü quruluşunun süni intellekt vasitəsi ilə proqnozlaşdırılması
Zülalların üçölçülü quruluşu Zülallar canlı orqanizmlərdə əsas həyati funksiyaları yerinə yetirən molekullardır. Onlar aminturşu adlanan daha kiçik molekulların ardıcıl birləşməsindən əmələ gəlir. Zülal istehsalı prosesi hüceyrələrdə baş verir. Belə ki, hüceyrələrdə aminturşular ard-arda zəncirvari olaraq birləşərək zülalın ilkin formasını əmələ gətirir. Bu proses zamanı canlı orqanizmlərdə 20-yə yaxın fərqli aminturşu iştirak edir. Bu aminturşuların fərqli… Read more
-

Yaddaş və öyrənmə yalnız beyin hüceyrələrində baş vermir. Bədənimizdəki digər hüceyrələr də, məsələn böyrək hüceyrələri, öyrənmə və yaddaş formalaşdırma qabiliyyətinə malikdir.
Məlum olduğu kimi, yaddaş funksiyası beyin hüceyrələrimiz tərəfindən yerinə yetirilir. Lakin alimlər kəşf edib ki, beyin hüceyrələri ilə yanaşı, digər bədən üzvlərindəki hüceyrələr də yaddaş funksiyasını yerinə yetirir. Bu yeni kəşf sayəsində yaddaşın necə işlədiyini daha yaxşı anlamaq və yaddaşla bağlı problemləri müalicə etmək mümkün ola bilər. Araşdırma neyrobiologiyada uzun müddətdir məlum olan “müəyyən fasilələrlə… Read more
-

Alimlər ilk dəfə olaraq bir orqanizmin beynindəki neyronlar arası əlaqələrin tam xəritəsini çıxarıblar.
Meyvə milçəyi ən ağıllı orqanizm olmasa da, alimlər onun beyni sinir sisteminin necə işlədiyini öyrənmək üçün tədqiqatlarda model orqanizm kimi geniş istifadə edir. Milçək beyninin öyrənilməsi istiqamətində işlər aparan tədqiqatçılar bu orqanizmin tam beyin xəritəsini çıxara biliblər. Bu indiyə qədər tam beyin xəritəsi çıxarılan yeganə orqanizmdir. Bu beyin xəritəsi təxminən 140 000 neyronu və 54,5… Read more
-

2024-cü il Tibb üzrə Nobel mükafatına layiq görülən elmi kəşf: MikroRNT`lərin və onların gen ekspressiyasının tənzimlənməsindəki rolunun kəşfi
Ümumi məlumat: Hüceyrə spesifik gen ekspressiyası Çoxhüceyrəli orqanizmlər o cümlədən insan orqanizmi müxtəlif hüceyrə tiplərindən, məsələn, sinir hüceyrəsi, əzələ hüceyrəsi, qaraciyər hüceyrəsi və s., ibarətdir. Bu hüceyrə tipləri müxtəlif həyati funksiyaları yerinə yetirərək birlikdə canlı orqanizmin fəaliyyətini təmin edirlər. Bütün müxtəlif tip hüceyrələr öz başlanğıclarını embriyonal inkişaf dövründə kök hüceyrələrdən götürürlər. Kök hüceyrələr eyni tipli… Read more
-

Tibb tarixində ilk Crispr-Cas9 genom redaktə texnologiyasına əsaslanan gen terapiyası metodu Birləşmiş Krallıqda genetik xəstəliklərin müalicəsi üçün təsdiqləndi.
Vertex Pharmaceuticals and CRISPR Therapeutics şirkətlərinin məhsulu olan və Crispr-Cas9 texnologiyasına əsaslanan gen terapiyası metodu (Casgevy: exagamglogene autotemcel) ilə oraqvari hüceyrə və β-talassemiya xəstəliklərindən əziyyət çəkən iyirmi doqquz xəstə üzərində aparılan klinik sınaqlar uğurlu nəticələr verib və bu terapiya xəstəliklərin əlamətlərinin azalmasına səbəb olub. Buna əsaslanaraq tibb tarixində ilk dəfə olaraq Birləşmiş Krallıqda Crispr-Cas9 metoduna… Read more
-

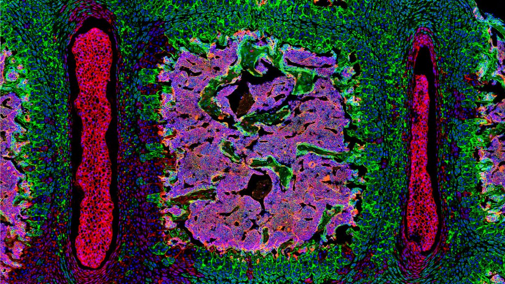
Süd vəzi xərçəngi niyə ən çox onurğa sütunu sümüklərinə metastaz verir? Onurğa sütununda yeni kəşf edilən kök hüceyrə tipi bu suala cavab ola bilər.
Kök hüceyrələr orqanizmimizdəki müxtəlif hüceyrələrin (sinir, ürək, sümük və s.) əmələ gəldiyi başlanğıc hüceyrələrdir. ABŞ-nin Cornell Universitetinin alimləri onurğa sütunu sümüklərinə başlanğıc verən yeni kök hüceyrə tipi müəyyən ediblər. İndiyə qədər onurğa sütunu sümüklərinin digər ətraflardakı sümükərlə eyni tipli kök hüceyrələrindən əmələ gəldiyi güman edilirdi. Lakin, 13 Sentyabr 2023-cü il tarixində Nature jurnalında, yuxarıda adı… Read more